

妳夢寐以求的完美臉型
骨骼輪廓重塑
打造妳嚮往的所有臉型
奧恩醫院 骨骼輪廓重塑
妳偏好哪種臉型線條? 是精緻俐落、清純動人,還是自然柔和?
現在,不必再為了特定風格而苦惱如何選擇醫院
過奧恩「骨骼輪廓重塑」,為妳量身打造所有理想臉型

ONE-STOP PROCESS
即使追求相同的線條,也不該擁有複製臉! 專為妳量身設計的「骨骼輪廓重塑系統」

–個人臉部比例檢測–
–DIBA 分析法精準設計–
–案例研討與模擬手術–
–執行骨骼輪廓重塑手術–
–術後專業照護管理–
適合對象
- 下顎角明顯(國字臉)
- 下巴過長
- 左右臉不對稱
- 側面線條尚可,但正面顯得過寬
- 下巴後縮(無下巴)
- 下巴尖端圓鈍、顯得厚重寬大
KEY POINT
為什麼選擇奧恩「骨骼輪廓重塑」?
01. 預防雙下巴與皮膚下垂的手術法
醫療團隊基於長期累積的數據,開發出 DIBA (Detailed Individual Balanced Analysis) 分析法,精準分析個人骨骼、肌肉與皮膚的平衡,實現能有效預防術後雙下巴與皮膚下垂的輪廓手術。
- Detailed:細節分析
- Individual:個人專屬
- Balance:平衡和諧
- Analysis:專業評估
核心效果:
- 打造平衡的臉部線條
- 更精準的預測術後結果
- 預防雙下巴及皮膚下垂
- 立體飽滿感,打造精緻小臉
02. 正面效果顯著的輪廓手術
從正面看,決定下顎寬度的關鍵在於「皮質骨(Pical Bone)」。因此,改善方臉問題時,是否進行皮質骨切除是效果好壞的核心。
然而,您知道一般的下顎角手術往往不包含皮質骨切除嗎?

一般下顎角手術:
僅針對耳下角至側下顎處進行長曲線切除。

奧恩「骨骼輪廓重塑」:
將皮質骨與下顎角合而為一,
進行One-piece 切除
*皮質骨 (Cortex/Pical Bone): 這是骨頭最外層硬的部分,切除它能有效縮減骨頭厚度,讓正面看起來臉更小。
*One-piece: 將多餘骨塊完整切除,減少不平整的風險。
| 項目 (中間) | 一般手術 (左) | 奧恩骨骼輪廓重塑 (右) |
| 切除面積 | 窄 | 廣 |
| 正面效果 | 低 | 高 |
| 組織損傷度 | 高 | 低 |
| 恢復速度 | 慢 | 快 |
03. 同時兼顧臉型與頸部線條的輪廓手術
有些案例的下顎角是往內捲曲的,若不考慮患者的骨骼形狀,僅採用一成不變的設計進行手術,
術後容易導致下顎線與頸部界線模糊,感受不到明顯的改善效果。
奧恩醫院會針對患者內捲的下顎骨進行精密的量身設計,
透過特定的手術技術重新找回俐落的下顎線條,讓臉型與頸部比例更加完美。

KEY POINT
為什麼選擇奧恩?
01. 眾多案例證明的卓越實力
許多因二次角(階梯感)、術後效果不彰等問題而苦惱的患者,為了尋求重修手術,最終都選擇來到奧恩醫院。
他院手術案例(左)
奧恩重修案例(右)

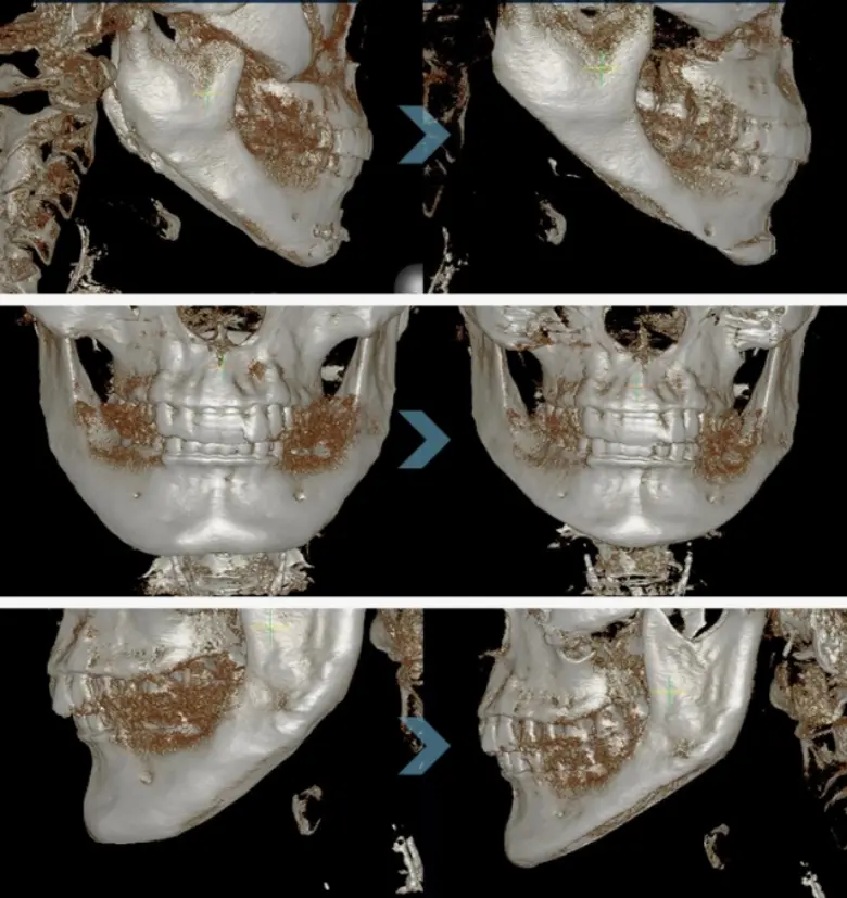
02. 深入骨骼的精確診斷!
利用 3D-CT 進行三維立體分析 制定專屬臉型的個人化手術方案
奧恩醫院不僅擁有高效率的醫療與手術設備,更配置專業診斷儀器,能精確掌握皮膚底層的三維空間結構。
透過分析骨骼形狀、神經線位置及軟組織狀態,我們能為每位患者制定細膩且精確的專屬手術計畫。


超越傳統 X-Ray 的 3D 臉部影像
告別傳統 2D 限制,實現 3D 高畫質精準診斷
傳統 X-Ray 僅能呈現二維影像,難以進行全方位精確診斷。奧恩醫院採用 HDX WILL DENTRI 3D CT,能將牙齒、下顎骨等構造轉換為高畫質 3D 影像,確保診斷無誤差。
此外,該設備大幅降低了輻射劑量,檢測時受到的輻射量僅相當於日常曝曬陽光的程度,提供極致安全的診療環境。
03. 在臉部輪廓領域獲得世界肯定的奧恩醫療團隊

輪廓手術專家——吳銘埈院長
榮獲美國 ASPS 學會最高榮譽獎項
曾擔任《Let Me In》醫生群的奧恩醫院 吳銘埈院長,是唯一在美國國際整形外科學會(ASPS)學術大會中獲得肯定的韓國醫師。
院長以「結合兩顎手術與臉部輪廓手術,實現東方人臉部黃金比例」為主題發表專題演講,並榮獲最優秀獎(Best Paper Award),其技術實力在全世界享有高度評價。
04. 安全至上!奧恩安心手術系統
奧恩 360 度全方位安全健檢
在奧恩醫院,我們在手術前會進行徹底的安全性檢測,預先排除所有潛在風險。
- 身體組成測量
- 血壓檢查
- 血液檢查
- 超音波檢查
- 貧血檢查
- X-ray 拍攝
- 3D-CT 立體掃描
- 顳顎關節檢查
- 心電圖檢查
- 肝腎功能及糖尿病篩檢
- 肌肉與骨骼疾病檢測
- 甲狀腺功能及感染性疾病篩檢
#奧恩醫院 #奧恩骨塔輪廓 #骨骼輪廓重塑 #韓國醫美 #小臉手術 #正顎手術 #削骨 #臉型設計 #精緻輪廓 #ONClinic
